
Dental Implants
If you are missing one or more of your teeth, it may be time to look into replacement options. Replacing missing teeth can improve your health, the way you speak, chew and restore your smile. Great Divide Dental in Helena MT provides a variety of ways to restore missing teeth, depending on your needs.
Implants
Implants are the ideal way to replace missing teeth. They are strong and long lasting and are considered the biggest advance in Dental Care in the last 40 years. Implants can be used to replace a single tooth or up to 28 missing teeth. They can also be used as anchor points for dentures and bridges. A few more benefits to implants are:- They allow the replacement of missing teeth without any treatment or affect on adjacent teeth.
- They are strong, permanent and stable.
- The can be flossed and brushed like any other tooth.
- They are never hot or cold sensitive.
- They cannot decay.
- Since they are not sensitive, once placed they can be worked on without any injections.
If you feel implants are the way to go, talk to Dr. Spiger, or learn more about implant care and procedures.

Before implant procedure.

After implant procedure.

Before implant procedure.

After implant procedure.
Bridges
At Great Divide Dental, our team of experienced dentists provide high-quality dental bridges to restore both the function and appearance of your smile. A bridge works by using the surrounding, healthy teeth to “bridge the gap,” filling in the empty space with a natural-looking artificial tooth. This solution is ideal for patients who have lost a tooth but still have strong teeth on either side of the gap to support the restoration.Dental bridges can be crafted from durable materials such as gold, porcelain, alloys, or a combination of these materials, depending on each patient’s unique needs and preferences. Our dentists in Helena, MT, will work closely with you to choose the option that offers the best blend of strength, comfort, and aesthetics. Whether you’re looking for a highly natural look or maximum durability, we can design a bridge that fits seamlessly into your smile.
There are two main types of bridges:
- Fixed bridges – A permanent option that is cemented in place and can only be removed by a dentist. Fixed bridges feel and function like natural teeth, giving you confidence when chewing, speaking, and smiling.
- Removable bridges – A flexible option that can be taken out for cleaning. These are designed for patients who prefer a solution that allows for easier maintenance.
Bridges not only improve the appearance of your smile but also help maintain your oral health. They prevent surrounding teeth from shifting out of place, support proper bite alignment, and restore your ability to chew comfortably. Our expert dentistry team takes the time to ensure your bridge feels natural and comfortable while protecting your long-term dental health.
If you are considering a dental bridge, Great Divide Dental offers compassionate, expert care for every member of your family. From routine cleanings to restorative treatments like bridges and crowns, our office is here to serve Helena families, working with patients of all ages. We are proud to be a trusted choice for families seeking quality, personalized care from their local dentists in Helena, MT.

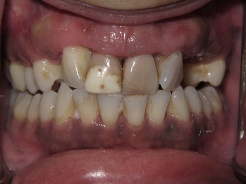
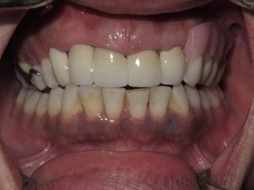
Before dental treatment.

After new bridge application.

Before dental treatment.

After new bridge application.

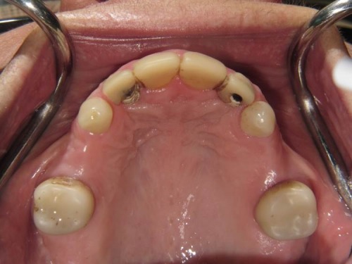
Before dental treatment.

Using Crowns and a Removable Bridge to Restore
Dentures
There are different types of dentures for teeth replacement, all of which provide a natural look that improves your teeth’s function and health.- Dental Implants are an exciting development to the traditional full dentures, which can make your teeth more stable and improve your chewing capability.
- Partial dentures utilize a metal framework and clasps that connect to your existing teeth, allowing you to keep your healthy teeth and restore your full smile.
- Full dentures are for those who need to replace all of their teeth. They not only help revive your smile, but restore your mouth and facial structure to its natural state.
Dr. Spiger has years of experience and a proven track record helping Helena residents achieve their dental goals, providing the information and recommendations patients need to choose the right option for them. If you are unhappy with your current dentures, you may want to explore dentures with implants or other options.
Caring for your dentures is important for the longevity of your smile. Be sure to read our denture post-procedural care information for tips and information on caring for your dentures.
Think implants, bridges, or dentures may be right for you? Contact Great Divide Dental for a patient-first approach to dentistry. Schedule an appointment to find out what works for you.

Great dentistry! I have had a fear of going to the dentist since I was small. At Great Divide I am comfortable. All staff are warm and caring. I've never had my teeth cleaned so thoroughly. And Dr. Spiger is the first dentist who never hurts me. Not even the shots. Never thought in my lifetime I would look forward to going to the dentist to have my teeth taken care of!!
Web Development by JTech Communications© 2026 Great Divide Dental